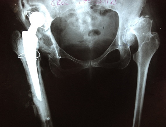
CORRECCIÓN DE AFLOJAMIENTO DE PRÓTESIS 1.PRÓTESIS AFLOJAMIENTO E INFECCIÓN DE VARIOS AÑOS. 2. RETIRO DE LA PRÓTESIS Y COLOCACIÓN DE PERLAS DE ANTIBIÓTICO ENTREVISTA PROGRAMA VIDA ENTREVISTA BDP CANAL 5 ENTREVISTA PIE PLANO ENTREVISTA ZAPATOS CORRECTOS INFILTRACIÓN DE ÁCIDO HYALURONICO EN CADERA